Periodontitis vs. Gingivitis | Gum Disease West Orange | Treatment
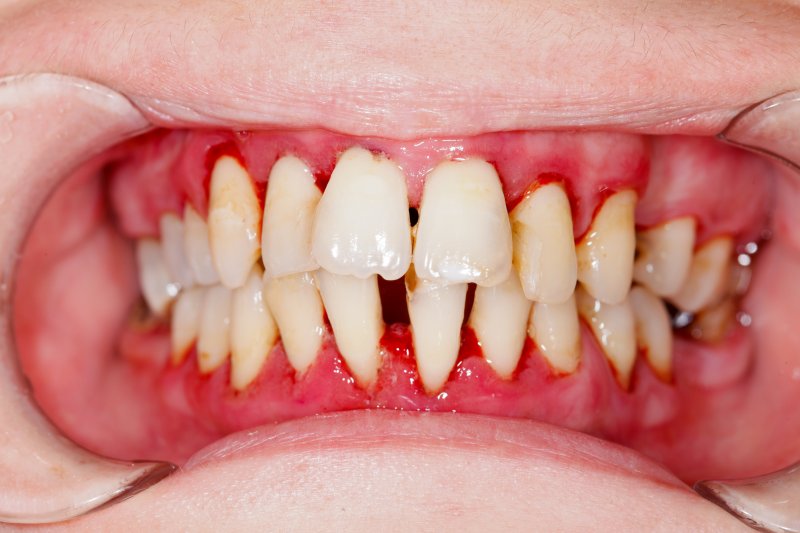
Have you heard the words “periodontitis” and “gingivitis” thrown around at your dentist’s office, but aren’t sure what they mean or what makes them different? These terms identify the different stages of one of the most common oral health problems that’s said to impact one out of two adults in the nation according to the […]
Periodontitis vs. Gingivitis | Gum Disease West Orange | Treatment Read More »
